Šypsenų galerija

Svetlana galerija 9

Visos burnos reabilitacija atstatant sukandimo aukštį, funkciją ir estetiką.Buvo protezuojami viršutinio žandikaulio dantys su E-Max keramikos vainikėliais priekinių dantų srityje ir cirkonio keramikos vainikėliais krūminių dantų srityje, apatinio žandikaulio dantys buvo estetiškai plombuojami , apatiniai krūminiai dantys protezuojami užklotais ir trukstamas 36 dantis atstatytas cirkonio keramikos vainikėlių ant implanto.

Svetlana galerija 8

8 viršutinių dantų protezavimas E-Max keramikos laminatėmis ir vainikėliais.

Svetlana galerija 7

Dalies netektų viršutinių dantų protezavimas cirkonio keramikos tiltu ant 4 implantų.

Svetlana galerija 6

6 viršutinių priekinių dantų protezavimas stiklo keramikos laminatėmis ištiesinant šypsenos kreivę.

Svetlana galerija 5

10 viršutinių dantų protezavimas stiklo keramikos laminatėmis.

Svetlana galerija 4

Viso viršutinio žandikaulio dantų estetikos ir funkcijos atkūrimas kombinuojant pilnus E-Max presuotos keramikos vainikėlius, laminates ir pilnus cirkonio keramikos vainikėlius.

Svetlana galerija 3

4 viršutinių dantų ir 2 implantų protezavimas cirkonio keramikos vainikėliais.

Svetlana galerija 2

Bedančio apatinio žandikaulio protezavimas fiksuotu hibridiniu protezu ant 4 implantų.

Svetlana galerija 1

8 viršutinių dantų estetikos ir funkcijos atkūrimas kombinuojant E-Max presuotos keramikos laminates ir dalinius vainikėlius.

jolita-estetinis-plombavimas-4

Atliktos dantų restauracijos dantų laminatėmis

jolita-estetinis-plombavimas-3

Atliktos dantų restauracijos dantų laminatėmis

jolita-estetinis-plombavimas-2

Atliktos dantų restauracijos dantų laminatėmis

jolita-estetinis-plombavimas-1

Plombinės restauracijos pakeistos į keramikines laminates.

viktorija-estetinis-plombavimas-4

Atliktas estetinis plombavimas 

viktorija-estetinis-plombavimas-3

Atliktas estetinis plombavimas

viktorija-estetinis-plombavimas-2

Atliktas estetinis plombavimas

viktorija-estetinis-plombavimas-1

Atliktas estetinis plombavimas

Jolita7

Pacientės netenkino priekinių dantų forma. Atliktas estetinis plombavimas 4 priekinių dantų keičiant 11,21 d. formą.

Jolita6

Sąkandžio reabilitacija pakeliant aukštį keramikinėmis laminatėmis ir užklotais.

Jolita5

Estetinio plombavimo ir protezavimo suderinimas. Atliktas stipriai pažeisto 12 d. protezavimas bemetalės keramikos pilnu cirkonio oksido vainiku priderinant 11, 21, 22 d. estetinį plombavimą.

Jolita4

Estetinis plombavimas. Keistos 6 priekinių dantų nekokybiškos plombos ir išvayti karioziniai audiniai.

Jolita3

Estetinis protezavimas. Buvo atlikta gleivinės aukščio korekcija lazeriu priekinių dantų pagerinant estetiką ir nelygią danteninę šypseną, atliktas 6 priekinių dantų estetinis protezavimas bemetalės keramikos e-max laminatėmis keičiant prieš tai atliktą estetinį plombavimą.

Jolita2

Estetinis protezavimas keramikinėmis laminatėmis

Jolita1

Estetinis plombavimas 4 priekinių dantų. Senos nekokybiškos plombinės restauracijos pašalintos iš tarpdančių ir naujai atliktas estetinis plombavimas 12,11,21,22 d.

Jolita

Estetinis protezavimas keramikinėmis laminatėmis

Ortodontija asc3

Ortodontinis gydymas breketų sistema.

Ortodontija asc2

Ortodontija asc1

Ortodontija asc

Ortodontinis gydymas breketų sistema.

estetinis plombavimas

Pacientė buvo nepatenkinta senomis priekinių dantų plombomis. Atliktas 4 dantų estetinis plombavimas.

estetinis plombavimas

Nudilusių kandamųjų kraštų atstatymas. 6 priekinių dantų plombavimas taikant danties audinius tausojančią metodiką (be gręžimo).

Estetinis plombavimas

Estetinis plombavimas. Buvo atliktas 2 priekinių dantų plombavimas.

Estetinis plombavimas

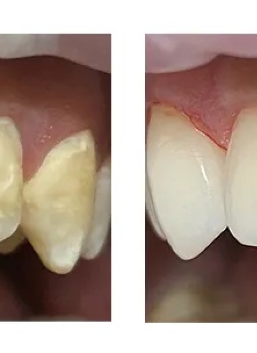
Estetinis plombavimas. Pacientės netenkino sena, nekokybiška plomba bei nudilę kandamieji kraštai. Atliktas estetinis plombavimas, 11 danties sutvirtinimui į šaknį cementuotas stiklo pluošto kaištis.

Estetinis plombavimas

Estetinis plombavimas. Atliktas 4 priekinių dantų estetinis plombavimas, keičiant senas, patamsėjusias plombas.

Estetinis plombavimas

Pacientės nusiskundimai: nevienodo ilgio dantys, neišdygęs 22 dantis (II kandis), nudilę kandamieji kraštai. Atliktas: 6 viršutinio žandikaulio priekinių dantų estetinis plombavimas, keičiant iltinio danties formą į kandžio, 6 apatinio žandikaulio priekinių dantų kandamųjų kraštų atstatymas plombuojant. Viskas atlikta vieno apsilankymo metu.

Estetinis plombavimas

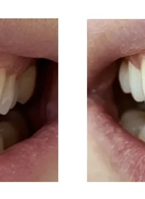
Pacientas skundėsi vieno danties patamsėjusia plomba. Atliktas vieno danties estetinis plombavimas.

Estetinis plombavimas

Pacientė skundėsi nevienoda priekinių dantų forma, pločiu bei nudilusiais kandamaisiais kraštais. Atliktas 6 dantų estetinis plombavimas.


Šypsenų galerija

Ortodontinis gydymas breketų sistema.

Jurgita Bartišienė

Jurgita Bartišienė

Jurgita Bartišienė

Ortodontinis gydymas breketų sistema.

Jurgita Bartišienė

Jurgita Bartišienė

Jurgita Bartišienė

Jurgita Bartišienė

Jurgita Bartišienė

Jurgita Bartišienė

Jurgita Bartišienė

Jurgita Bartišienė

Jurgita Bartišienė

Jurgita Bartišienė

Jurgita Bartišienė

Jurgita Bartišienė

Jurgita Bartišienė

Svetlana Leleikienė

Visos burnos reabilitacija atstatant sukandimo aukštį, funkciją ir estetiką.Buvo protezuojami viršutinio žandikaulio dantys su E-Max keramikos vainikėliais priekinių dantų srityje ir cirkonio keramikos vainikėliais krūminių dantų srityje, apatinio žandikaulio dantys buvo estetiškai plombuojami , apatiniai krūminiai dantys protezuojami užklotais ir trukstamas 36 dantis atstatytas cirkonio keramikos vainikėlių ant implanto.

Svetlana Leleikienė

8 viršutinių dantų protezavimas E-Max keramikos laminatėmis ir vainikėliais.

Svetlana Leleikienė

Dalies netektų viršutinių dantų protezavimas cirkonio keramikos tiltu ant 4 implantų.

Svetlana Leleikienė

6 viršutinių priekinių dantų protezavimas stiklo keramikos laminatėmis ištiesinant šypsenos kreivę.

Svetlana Leleikienė

10 viršutinių dantų protezavimas stiklo keramikos laminatėmis.

Svetlana Leleikienė

Viso viršutinio žandikaulio dantų estetikos ir funkcijos atkūrimas kombinuojant pilnus E-Max presuotos keramikos vainikėlius, laminates ir pilnus cirkonio keramikos vainikėlius.

Svetlana Leleikienė

4 viršutinių dantų ir 2 implantų protezavimas cirkonio keramikos vainikėliais.

Jolita Ruginienė

Pacientės netenkino priekinių dantų forma. Atliktas estetinis plombavimas 4 priekinių dantų keičiant 11,21 d. formą.

Svetlana Leleikienė

Bedančio apatinio žandikaulio protezavimas fiksuotu hibridiniu protezu ant 4 implantų.

Jolita Ruginienė

Sąkandžio reabilitacija pakeliant aukštį keramikinėmis laminatėmis ir užklotais.

Svetlana Leleikienė

8 viršutinių dantų estetikos ir funkcijos atkūrimas kombinuojant E-Max presuotos keramikos laminates ir dalinius vainikėlius.

Jolita Ruginienė

Estetinio plombavimo ir protezavimo suderinimas. Atliktas stipriai pažeisto 12 d. protezavimas bemetalės keramikos pilnu cirkonio oksido vainiku priderinant 11, 21, 22 d. estetinį plombavimą.

Jolita Ruginienė

Estetinis plombavimas. Keistos 6 priekinių dantų nekokybiškos plombos ir išvayti karioziniai audiniai.

Jolita Ruginienė

Atliktos dantų restauracijos dantų laminatėmis

Jolita Ruginienė

Estetinis protezavimas. Buvo atlikta gleivinės aukščio korekcija lazeriu priekinių dantų pagerinant estetiką ir nelygią danteninę šypseną, atliktas 6 priekinių dantų estetinis protezavimas bemetalės keramikos e-max laminatėmis keičiant prieš tai atliktą estetinį plombavimą.

Jolita Ruginienė

Atliktos dantų restauracijos dantų laminatėmis

Jolita Ruginienė

Estetinis protezavimas keramikinėmis laminatėmis

Jolita Ruginienė

Atliktos dantų restauracijos dantų laminatėmis

Jolita Ruginienė

Estetinis plombavimas 4 priekinių dantų. Senos nekokybiškos plombinės restauracijos pašalintos iš tarpdančių ir naujai atliktas estetinis plombavimas 12,11,21,22 d.

Jolita Ruginienė

Plombinės restauracijos pakeistos į keramikines laminates.

Jolita Ruginienė

Estetinis protezavimas keramikinėmis laminatėmis

Viktorija Lideikė (Orlauskytė)

Atliktas estetinis plombavimas 

Viktorija Lideikė (Orlauskytė)

Atliktas estetinis plombavimas

Viktorija Lideikė (Orlauskytė)

Atliktas estetinis plombavimas

Viktorija Lideikė (Orlauskytė)

Atliktas estetinis plombavimas

Viktorija Lideikė (Orlauskytė)

Pacientė buvo nepatenkinta senomis priekinių dantų plombomis. Atliktas 4 dantų estetinis plombavimas.

Viktorija Lideikė (Orlauskytė)

Nudilusių kandamųjų kraštų atstatymas. 6 priekinių dantų plombavimas taikant danties audinius tausojančią metodiką (be gręžimo).

Viktorija Lideikė (Orlauskytė)

Estetinis plombavimas. Buvo atliktas 2 priekinių dantų plombavimas.

Viktorija Lideikė (Orlauskytė)

Estetinis plombavimas. Pacientės netenkino sena, nekokybiška plomba bei nudilę kandamieji kraštai. Atliktas estetinis plombavimas, 11 danties sutvirtinimui į šaknį cementuotas stiklo pluošto kaištis.

Viktorija Lideikė (Orlauskytė)

Estetinis plombavimas. Atliktas 4 priekinių dantų estetinis plombavimas, keičiant senas, patamsėjusias plombas.

Viktorija Lideikė (Orlauskytė)

Pacientės nusiskundimai: nevienodo ilgio dantys, neišdygęs 22 dantis (II kandis), nudilę kandamieji kraštai. Atliktas: 6 viršutinio žandikaulio priekinių dantų estetinis plombavimas, keičiant iltinio danties formą į kandžio, 6 apatinio žandikaulio priekinių dantų kandamųjų kraštų atstatymas plombuojant. Viskas atlikta vieno apsilankymo metu.

Viktorija Lideikė (Orlauskytė)

Pacientas skundėsi vieno danties patamsėjusia plomba. Atliktas vieno danties estetinis plombavimas.

Viktorija Lideikė (Orlauskytė)

Pacientė skundėsi nevienoda priekinių dantų forma, pločiu bei nudilusiais kandamaisiais kraštais. Atliktas 6 dantų estetinis plombavimas.

Registracija gali tapti paprastesnė!

Susisiekite su mumis ir suderinsime Jums patogų susitikimo laiką.